What's Your Dental Palette? Discover the Vibrant Shades of Gums!

What Color Are Gums

What Color Are Gums?

The Importance of Gum Health

Gum health plays a crucial role in maintaining overall oral health. Gums are made up of soft tissues that cover the bones surrounding teeth. They act as a protective barrier, preventing bacteria from entering the bloodstream and causing infections.

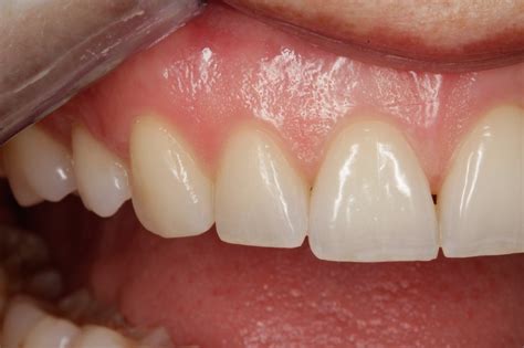
Normal Gum Color

Healthy gums typically have a pinkish color, which may vary slightly depending on an individual's skin tone. Pink gums indicate good blood circulation and a healthy level of pigmentation.

Pale Gums

If your gums appear paler than usual, it may be a sign of poor blood circulation. Anemia, a condition characterized by low levels of red blood cells, can cause gums to lose their normal pink color. Other possible causes of pale gums include vitamin deficiencies, malnutrition, or certain medications.

Red Gums

Red or inflamed gums are often an indication of gum disease, such as gingivitis or periodontitis. These conditions are caused by a buildup of plaque and bacteria along the gumline, leading to irritation and inflammation. If left untreated, gum disease can result in tooth loss and other complications.

Dark Gums

In some individuals, gums may appear darker or have patches of dark spots. This is usually due to increased melanin production, which is responsible for skin and tissue pigmentation. Dark gums are more common in individuals with darker skin tones and are typically not a cause for concern.

White Spots on Gums

White spots on gums can be a sign of various conditions, including leukoplakia or oral lichen planus. Leukoplakia refers to thick, white patches that cannot be scraped off and may indicate precancerous changes. Oral lichen planus, on the other hand, is a chronic inflammatory condition that can cause white lines or spots on the gums.

Blue or Purple Gums

Gums that appear blue or purple may indicate poor oxygenation or reduced blood flow. This discoloration could be a symptom of a more serious underlying condition, such as cyanosis or a circulatory disorder. If you notice persistent blue or purple gums, it is important to seek medical attention for proper evaluation and diagnosis.

Yellow Gums

Yellow gums can be a sign of jaundice, a condition characterized by yellowing of the skin and eyes. Jaundice occurs when there is an excess of bilirubin in the bloodstream, which can affect the color of the gums as well. Liver diseases, such as hepatitis or cirrhosis, are common causes of jaundice.

Gray Gums

Gray gums can be a symptom of various underlying issues, including smoking-related conditions. Smoking can cause gum discoloration and increase the risk of gum disease and oral cancer. If you have gray gums, it is advisable to consult with a dental professional for a comprehensive examination.

Conclusion

Gum color can provide important insights into your overall oral health. While pink gums are considered normal and healthy, any significant changes in color should be evaluated by a dental professional. Regular dental check-ups and proper oral hygiene practices are essential for maintaining optimal gum health and preventing gum diseases.

Video What Color Are Gums


Visit Video

Comments