Vibrant Gums: Unveiling the Perfect Shades for a Healthy Smile!

Gums Color
html> lang=en> Gums Color

Gums Color: An Indicator of Oral Health

Introduction

Gums play a crucial role in maintaining oral health. While most people focus on the appearance and cleanliness of their teeth, the color and condition of gums should not be overlooked. Gums can vary in color, which can indicate potential oral health issues. In this article, we will explore the different gum colors and what they may signify.

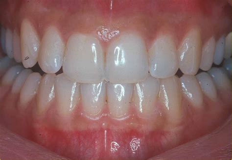
Healthy Pink Gums

Typically, healthy gums have a pink coloration. This indicates good blood circulation and a lack of inflammation or infection. Pink gums are a positive sign of oral health, as they show that the gums are properly nourished and well-maintained.

Pale Gums

If your gums appear pale or whitish, it could be an indication of anemia or circulatory problems. Pale gums may also be a sign of reduced blood flow to the gums, which can occur due to an underlying health condition. If you notice persistent paleness in your gums, it's important to consult with a healthcare professional for further evaluation.

Red or Inflamed Gums

If your gums are red, swollen, or inflamed, it is likely a sign of gum disease. This condition, known as gingivitis, is caused by the buildup of plaque and bacteria along the gumline. Red or inflamed gums may also bleed easily when brushing or flossing. Seeking dental treatment is crucial to prevent the progression of gum disease, as it can lead to more severe issues like periodontitis.

Darkened Gums

In some cases, gums may appear darker than usual. This can be attributed to various factors such as smoking, certain medications, or genetic predisposition. Although darkened gums may not always indicate an underlying health problem, it is recommended to consult with a dentist to rule out any potential concerns.

Blue or Purple Gums

Blue or purple gums are a cause for immediate concern. This discoloration often suggests poor oxygenation or inadequate blood flow to the gums. It can indicate serious health conditions such as cyanosis or cardiovascular problems. If you notice your gums turning blue or purple, seek medical attention promptly.

Yellow Gums

Yellowish gums can be associated with jaundice, a condition that occurs due to liver dysfunction. Jaundice causes a buildup of bilirubin in the body, which can manifest as yellowing of the skin and gums. If your gums appear yellow, along with other symptoms like yellow eyes or dark urine, it is essential to consult a healthcare professional for appropriate diagnosis and treatment.

Conclusion

The color of your gums can serve as a valuable indicator of your oral and overall health. While pink gums are generally a sign of good oral hygiene, any significant deviation in color should not be ignored. Whether your gums are pale, red, darkened, or exhibiting other abnormal hues, consulting with a dental or medical professional is crucial to identify and address any underlying issues. Regular dental check-ups, proper oral hygiene practices, and a healthy lifestyle can help maintain the natural pink color of your gums, ensuring a confident smile and optimal oral health.

.

Comments