Unveiling the Mystery: Red Gums Demystified!

What Does Red Gums Mean

What Does Red Gums Mean: Understanding the Symptoms and Causes

Introduction

Red gums can be a cause for concern as they are often an indication of an underlying oral health issue. While occasional redness may be harmless, persistent red gums could be a sign of gum disease or other dental problems. In this article, we will explore the various symptoms and causes of red gums, helping you understand what it could mean for your oral health.

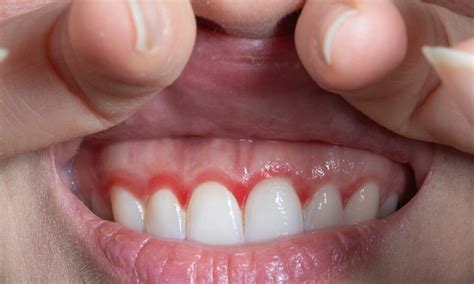
The Symptoms of Red Gums

If you notice any of the following symptoms, it is important to pay attention to your oral health and seek professional advice if needed:

1. Redness or inflammation of the gums

2. Swelling or puffiness

3. Tenderness or sensitivity

4. Bleeding gums, especially during brushing or flossing

5. Receding gums

Possible Causes of Red Gums

There are several potential causes for red gums, including:

Gum Disease

Gum disease, also known as periodontal disease, is one of the most common causes of red gums. It occurs when plaque buildup on the teeth leads to infection and inflammation of the gums. Without proper treatment, gum disease can progress and result in tooth loss.

Poor Oral Hygiene

Inadequate oral hygiene practices such as infrequent brushing and flossing can contribute to red gums. Plaque and bacteria accumulate, leading to gum irritation and inflammation.

Gingivitis

Gingivitis is an early stage of gum disease characterized by redness, swelling, and bleeding of the gums. It is usually caused by poor oral hygiene and can be reversed with proper treatment and improved oral care habits.

Medications

Certain medications, such as blood thinners or anticonvulsants, can cause gum inflammation and redness as a side effect. If you suspect your medication is causing red gums, consult with your healthcare provider.

Smoking

Smoking is not only detrimental to overall health but also affects oral health. It can contribute to gum disease, gum discoloration, and persistent redness of the gums.

Nutritional Deficiencies

A lack of essential nutrients, particularly vitamin C and vitamin K, can weaken the immune system and lead to gum problems, including redness and bleeding.

Hormonal Changes

Hormonal changes during pregnancy or menopause can affect oral health, making gums more susceptible to inflammation and redness.

Other Factors

Other factors such as stress, certain systemic diseases, and genetic predispositions can also contribute to red gums.

When to Seek Professional Help

If you are experiencing persistent red gums or any concerning symptoms, it is advisable to schedule an appointment with a dental professional. They will be able to evaluate your oral health, determine the underlying cause, and recommend appropriate treatment.

Conclusion

Red gums should not be ignored, as they can be an indication of various oral health issues. By understanding the symptoms and causes associated with red gums, you can take appropriate steps to maintain good oral hygiene and seek timely professional help when needed. Remember, prevention and regular dental check-ups are key to maintaining optimal oral health.

Video What Does Red Gums Mean


Visit Video

Comments